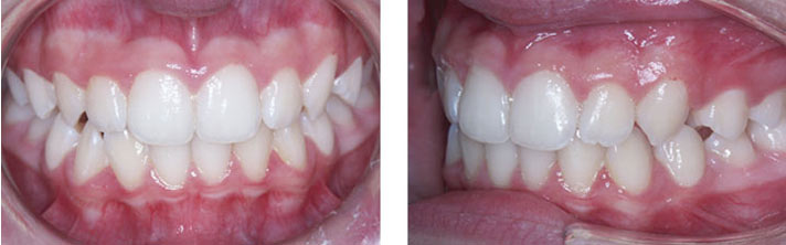
E’ un apparecchio funzionale mobile che usiamo per la correzione delle malocclusioni caratterizzate da un avanzamento dei denti e dell’osso mascellare superiore rispetto ai denti e all’osso mascellare inferiore (II classe scheletrica).
E’ costituito da due apparecchi uno superiore e uno inferiore che favoriscono l’ avanzamento della mandibola. Per una buona riuscita della terapia, questo tipo di apparecchio deve essere indossato per almeno 14/16 ore al giorno.
