Premessa fondamentale per la terapia chirurgica parodontale, in qualsiasi sua forma, è che il paziente sia motivato ad un adeguato controllo di placca (con indice di contaminazione e di infezione inferiore al 20%) e che ci siano condizioni generali di salute che non controindichino l’intervento.
La terapia chirurgica è un mezzo aggiuntivo alla terapia causale. Le diverse tecniche vengono valutate sulla base della loro capacità di ridurre tasche profonde e correggere difetti che favoriscono l’accumulo di placca batterica.
Gli studi dimostrano che tasche con profondità maggiori o uguali a 5 mm hanno un rischio di recidiva 12 volte maggiore rispetto a quelle minore di 3 mm. Una tasca con sondaggio maggiore di 5 mm rappresenta altresì un fattore di rischio di perdita del dente 8 volte maggiore rispetto ai siti con profondità minore di 3 mm.
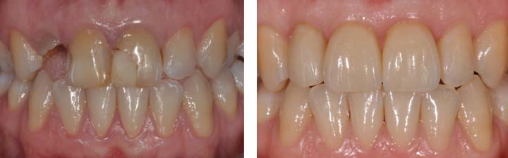
La terapia chirurgica inoltre può aiutarci nella correzione dei difetti di morfologia, posizione e/o quantità dei tessuti molli gengivali. Le principali indicazioni riguardano la copertura delle superfici radicolari esposte, l’aumento di volume e di quantità di tessuto gengivale.
La chirurgia parodontale ci permette di ottimizzare l'esecuzione di restauri conservativi e protesici ai fini di migliorare l'estetica.
